Bild 1 Welpe mit 6 Wochen, die Knochen müssen sich noch bilden, auch das Becken ist noch nicht komplett.
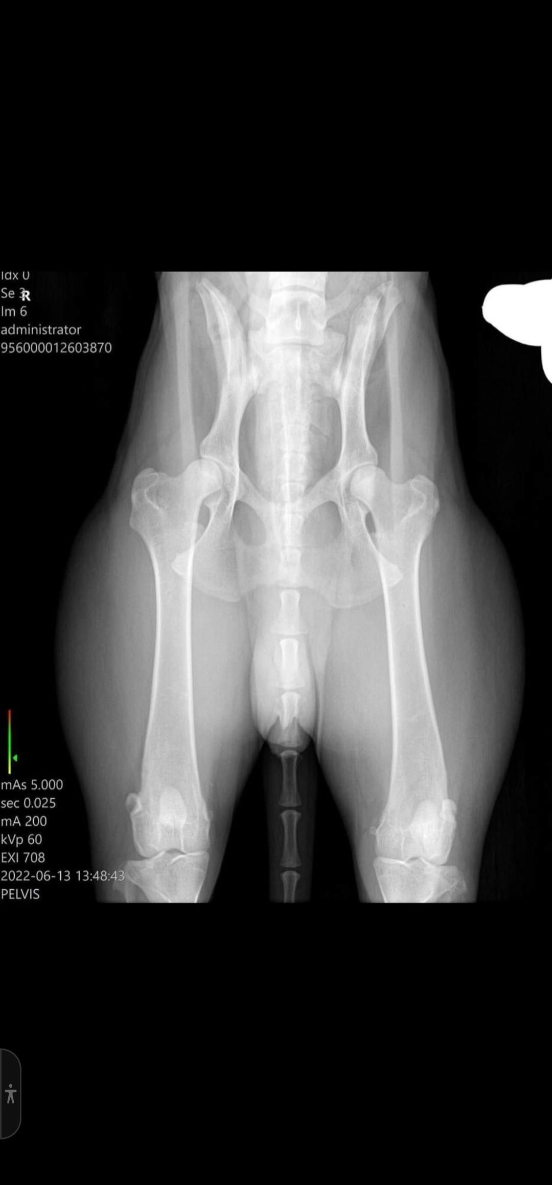
Bild 2 Junghund 6 Monate, die Knochen sind nun zusammen gewachsen
Darum mit einem Welpen keine langen Spaziergänge, Die Regel lautet alter in Wochen plus 1 Minute
14 Wochen alter Welpe heisst 15 Minuten laufen gehen!!




